درمان دندانپزشکی به ندرت با یک جلسه و با یک ملاقات بیمار و پزشک پایان می پذیرد. اکثرا لازم است که بیمار قابلیت دسترسی مجدد به محل درمان چه به صورت حضوری و چه غیر حضوری داشته باشد تا در صورت بروز هر نوع مشکل احتمالی بتواند جهت حل مشکل خود اقدام کند، برای مثال بیمار پس از درمان جراحی و با مراجعه به منزل خود پس از چند ساعت با خونریزی مواجه میشود، چه بسا این اتفاق در نیمه شب رخ دهد، این حق هر بیمار است که آسوده خاطر از هر نوع عوارض درمان باشد و اطمینان داشته باشد که محلی برای رفع مشکل احتمالی وجود دارد. کلینیک رایا یک مرکز شبانه روزی واقعی دندانپزشکی است و علاوه بر اینکه جایی مناسب برای درمان شماست، آسودگی خاطر شما را از نظر دسترسی همیشگی تأمین خواهد کرد.

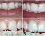
طراحی لبخند دیجیتال چیست و چرا دقت بالاتری دارد؟
طراحی لبخند دیجیتال چیست و چرا دقت بالاتری دارد؟ یکی
تاثیر بهداشت دهان بر ماندگاری لمینت دندان
لمینت دندان یکی از محبوب ترین روش های زیبایی در
روش های مدرن ترمیم دندان شکسته با کامپوزیت
ترمیم دندان شکسته با کامپوزیت یکی از روش های مدرن







